Распространенные ошибки немедленной имплантации зубов в эстетически значимой зоне
Оглавление статьи:- Неправильное положение и направление оси имплантата
- Отслаивание лоскута при закрытой имплантации
- Отслаивание лоскута при одноэтапной имплантации
- Положение и диаметр имплантата
- Список использованной литературы
Современную стоматологию нельзя представить без восстановления зубов на имплантах. Если имплантацией зубов на место жевательных зубов овладевают без проблем большинство хирургов, то имплантация в эстетически значимой зоне (на место передних зубов) до сих пор совершается с различными ошибками. В данной статье предлагаю остановиться на распространенных ошибках имплантации на место передних зубов.
а) Неправильное положение и направление оси имплантата. Установку имплантатов сразу после удаления зубов первыми описали Schulte и соавт. еще в 1978 г. Однако в то время не уделялось первостепенного внимания эстетическому результату имплантологического лечения, а основной целью считали достижение остеоинтеграции.
Более того, был проведен целый ряд сравнительных исследований, посвященных оценке эффективности керамических и титановых имплантатов. Сегодня известно, что немедленная имплантация ассоциируется с высокой долгосрочной выживаемостью. Для замещения передних зубов немедленную имплантацию стали использовать в 1980-е гг., и скоро выяснилось, что этот подход сопряжен с определенным риском.
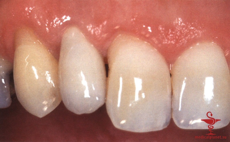
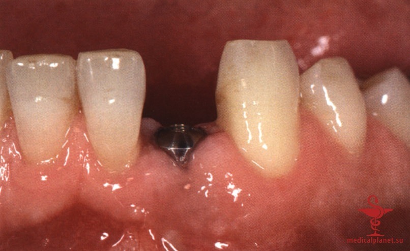
В частности, в эстетически значимой зоне имплантат не следует устанавливать в положении и направлении корня замещаемого зуба, поскольку в большинстве случаев это приведет к слишком вестибулярному положению и избыточному вестибулярному наклону имплантата. Обычно такая ситуация ассоциируется с выраженной рецессией десны, как это описывалось в отдельной статье на сайте (просим Вас пользоваться формой поиска по сайту выше) (рис. 1).
Кроме того, оказалось, что удаление зуба неизбежно сопровождается резорбцией альвеолярной кости, причем в большей степени с вестибулярной, чем с язычной стороны, а немедленная имплантация не позволяет предотвратить этот процесс. В передних отделах челюстей утрата вестибулярной кости часто приводит к неблагоприятному эстетическому результату. Сам факт отслаивания слизисто-надкостничного лоскута также усугубляет резорбцию костной ткани.
Основное клиническое преимущество немедленной имплантации заключается в уменьшении числа этапов и сокращении продолжительности, а значит, стоимости лечения. Она доступна по цене как в Москве, так и в регионах. К примеру, стоматология в Омске предлагает установку импланта Osstem за сумму в районе 20 тысяч рублей, то есть за 200 долларов США. Подобной доступности не было даже до СВО.








б) Отслаивание лоскута при закрытой имплантации. В прошлом при немедленной имплантации хирурги отслаивали слизисто-надкостничный лоскут как для удаления зуба, так и для установки имплантата. Безусловно, формирование лоскута позволяет визуализировать вестибулярную костную пластинку и облегчает имплантацию, снижая риск перфорации стенки лунки.
Проблемы возникают при необходимости герметичного ушивания раны, что довольно сложно, если учесть недостаточный объем мягких тканей (из-за наличия лунки). Кроме того, для надежной адаптации лоскута край десны следует деэпителизировать. Для достижения этих целей требуется корональное смещение лоскута, что ведет к уменьшению зоны кератинизированной десны.
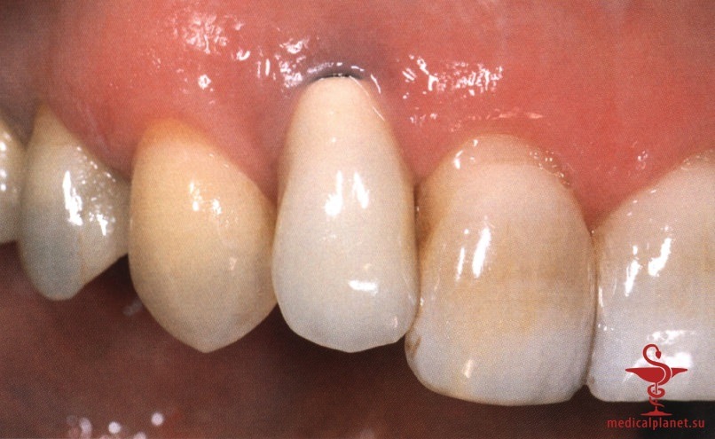
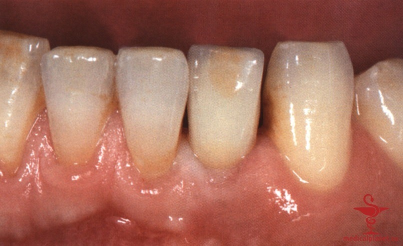
В качестве альтернативы можно провести пересадку субэпителиального соединительнотканного трансплантата (СТТ) для перекрывания лунки, избегая коронального смещения лоскута. Однако следует помнить, что выполнение нескольких хирургических манипуляций одновременно повышает риск нарушения кровоснабжения, от которого во многом зависит качество заживления. При этом часть СТТ остается открытой и заживает вторичным натяжением в течение относительно длительного периода.
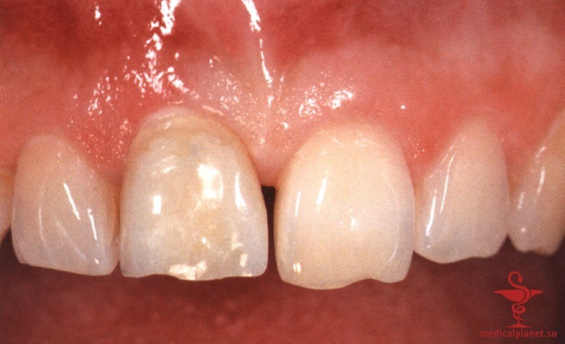
Более того, происходит потеря объема трансплантата, а результат редко можно признать оптимальным, особенно в области десневых сосочков (рис. 2), поэтому в настоящее время такой протокол не рекомендуется.








в) Отслаивание лоскута при одноэтапной имплантации. Одноэтапная немедленная имплантация кажется предпочтительной, поскольку герметичное ушивание раны сразу после удаления зуба представляется нецелесообразным. Вместо плотного сопоставления краев раны на имплантат немедленно фиксируют формирователь десны или временную реставрацию, что снижает риск деформации прилегающих мягких тканей.
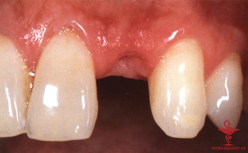
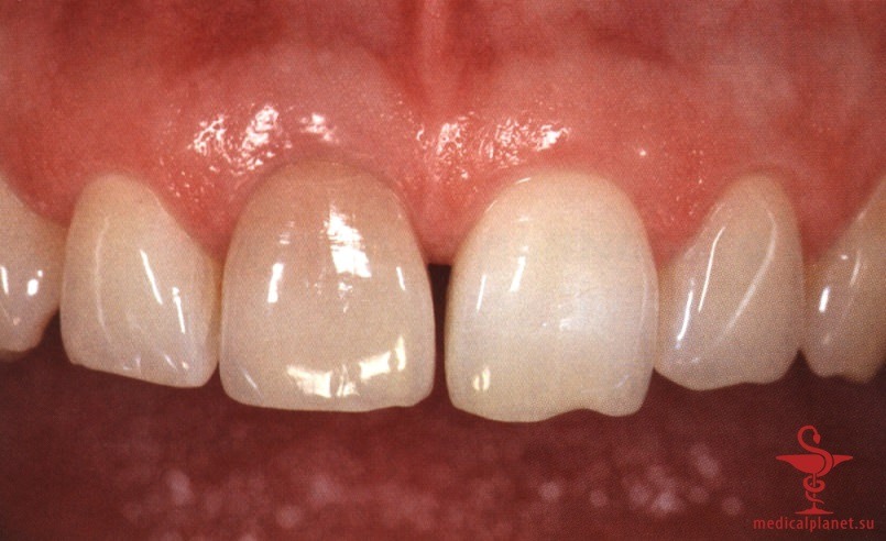
Следует помнить, что любой, даже самый маленький лоскут требует наложения швов в области сосочков, а каждый разрез в этой зоне ведет к уменьшению их высоты, как обсуждалось в отдельной статье на сайте (просим Вас пользоваться формой поиска по сайту выше) (рис. 3). Иными словами, при немедленной имплантации в эстетически значимой зоне нужно избегать отслаивания лоскута.






г) Положение и диаметр имплантата. Установка имплантата в лунку сразу после удаления зуба без отслаивания лоскута требует глубоких знаний и большого опыта хирурга.
Сложность такого подхода обусловлена высокой вероятностью наличия или формирования костного дефекта в области имплантации. В течение многих лет считалось, что имплантат остеоинтегрируется только при минимальном зазоре между ним и костью. Однако в 1988 г. Carlsson и соавт. описали феномен «костного прыжка», который заключается в возможности достижения остеоинтеграции даже при довольно большом расстоянии между поверхностями имплантата и кости.
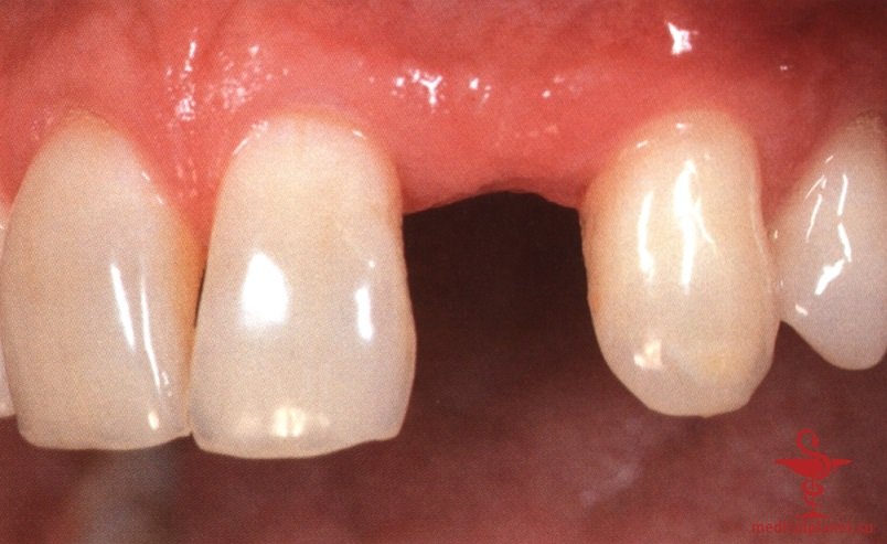
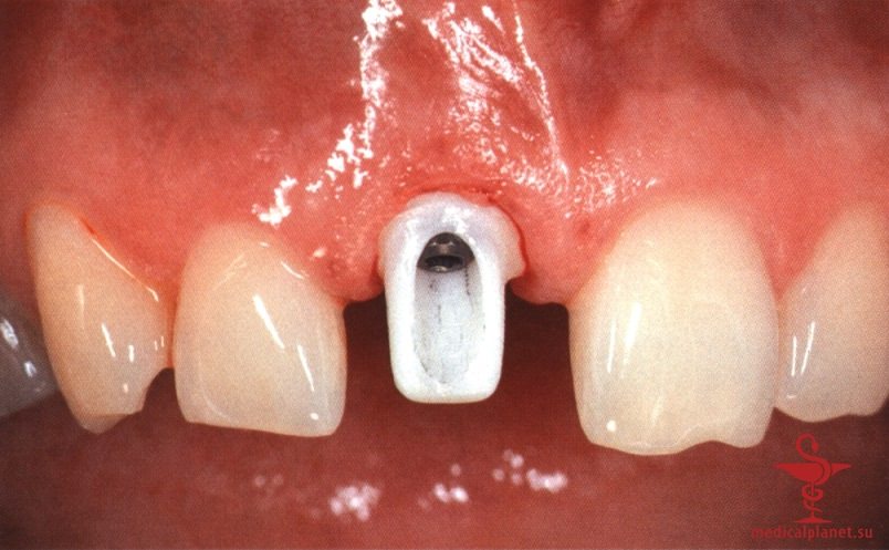
Сначала предполагалось, что уменьшение зазора является предпочтительным, поэтому рекомендовали устанавливать имплантаты максимального диаметра. Данное предположение оказалось ошибочным. В настоящее время доказано, что зазор менее 0,5 мм между костью и имплантатом заполняется новообразованной костной тканью без каких-либо дополнительных манипуляций.4 Более того, следует избегать контакта имплантата с костной стенкой, чтобы не оказывать на нее давление, которое сопровождается резорбцией кости (рис. 4).








Как бы то ни было, сегодня отсутствуют четкие, научно обоснованные рекомендации по ведению описанных дефектов при немедленной имплантации. Подробнее данный вопрос обсуждается далее в отдельной статье на сайте (просим Вас пользоваться формой поиска по сайту выше).
- Рекомендуем ознакомиться далее "Каппа для окклюзионной репозиции нижней челюсти по Bassetti"
Редактор: Искандер Милевски. Дата публикации: 4.2.2025
